Рентгеновские снимки в стоматологии применяются для правильной и полной диагностики болезней зубов, в процессе лечения и для контроля его результатов.
История рентгена начинается в 1895 году, а мифы об этом виде исследований живы как в первый день сотворения. Однако, стоматологический рентген существенно отличаются от обычного рентгеновского, облучение в нем гораздо меньше за счет использования узконаправленного пучка рентгеновских лучей и малой длительности излучения. Например, делая снимок на цифровом рентгене, Вы получаете облучение не больше, чем при двухчасовом авиаперелете.
Что касается дозы рентгеновского облучения, которое получает Пациент во время такого обследования, то здесь речь идет о 0,002 — 0,003 мЗв (миллизиверт — единица, используемая для обозначения количества облучения), а согласно СанПиНу, в год в исследовательских целях можно получать до 1 мЗв, так что делать рентген зубов можно сколь угодно часто, ведь главная цель этого метода исследования — повысить качество диагностики и лечения заболеваний полости рта.
Основные типы исследований, которые применяются в стоматологии:
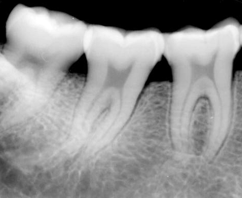
Дентальный (или прицельный) снимок
Имплантация, протезирование, синус-лифтинг, лечение каналов зуба — все эти операции невозможны без рентгена. Сделать снимок зубов необходимо, чтобы оценить состояние костной ткани, проверить заполнение каналов (снимок корней зубов), выявить развитие скрытого кариеса, который может появляться под пломбой, коронкой или в межзубных промежутках. Рентген зуба показывает также состояние периодонта (ткани вокруг корня зуба) и пародонта (ткани вокруг всего зуба), трещины или воспаление каналов. С помощью рентгена Врач стоматолог может поставить точный диагноз, особенно если жалобы Пациента и симптомы позволяют предположить несколько болезней.
Делается на визиографе.

Панорамный снимок зубов (ОПТГ)
Порой для диагностики состояния полости рта Пациента недостаточно просто сделать снимок одного зуба, Врачу стоматологу важно видеть картину целиком. Кроме зубов, их корней, каналов, наличия пломб и коронок, на панорамном снимке видно состояние тканей пародонта, гайморовых пазух, синусов. Панорамный снимок зубов, или ортопантомограмма, позволяет обнаружить скрытые кариозные полости, воспаления, кисты, абсцессы, наличие пародонтальных карманов, выявить точное состояние корней и околозубных тканей, оценить состояние гайморовой пазухи, височно-нижнечелюстного сустава.
Также сделать ортопантомограмму необходимо при:
- планировании ортодонтического лечения брекетами или элайнерами;
- процессе подготовки к имплантации зубов;
- определении положения и состояния зубов мудрости.
Делается на ортопантомографе.

3D снимок зубов (компьютерная томография)
Трехмерная модель зубочелюстной системы, которая позволяет очень точно определить состояние зубов, размер и плотность кости, провести любые необходимые измерения. Данный вид исследования необходим как при сложном эндодонтическом лечении, так и при имплантации.
Делается на компьютерном томографе.

Можно ли делать рентген зуба при беременности?
В первой половине беременности снимки делать, однозначно, не стоит, а во второй — 1 мЗв для визиографа (прицельный снимок) — это практически без ограничений. Тем более рентгенолог обязательно предоставит Вам средство защиты – специальный фартук.
Беременность. Один ребенок-минус один зуб?
Во время беременности иммунитет женщины понижается, измененный состав слюны и микробы более активно воздействуют на организм, дестабилизируют костную систему, а также негативно влияют на зубы, вызывая кариес и его осложнения.
Начальный кариес у беременных требует обязательного визита к стоматологу, потому что болезнь прогрессирует в несколько раз быстрее и может перейти в пульпит. Также, будущая мама должна отдавать себе отчет в том, что ребенок может получить генетическую предрасположенность к кариесу, еще будучи в утробе.
Самый благоприятный для беременной женщины и безопасный для ребенка период для лечения зубов- второй триместр.
Дорогие Мамы, не переживайте, Врачи стоматологи Центра Семейной Стоматологии расскажут Вам, как правильно ухаживать за ротовой полостью в период вынашивания ребенка, какие продукты стоит употреблять для здоровья зубов и помогут подобрать средства для профилактики стоматологических заболеваний полости рта.